Official Journal of the
Brazilian Society of Videosurgery

 
Year 1 - Vol. 1 - Number 2 - April/June 2008

Original Article
«  PDF file  »

Optimization of the Antegrade Ureteral Stenting During Laparoscopic Dismembered Pyeloplasty: An Easy, Cheap and Without Additional Port Technique to Identify the Ureter and the Renal Pelvis

Lessandro Curcio; Juan Renteria; Antonio Cláudio Cunha; Moacir Cavalcante; Marcus Augusto Marinho; Frederico Bastos; Geraldo Dibiase


Department of Urological Laparoscopy of Urology Service at Hospital Geral de Ipanema.


ABSTRACT

Introduction- One of the greatest controversies in pyeloplasty is if Double J stent must be passed in a retrograde or an antegrade fashion. We show a technique, where at the same time we search for an easy way to find the ureter, identify the renal pelvis and pass the DJ stent from the kidney to the bladder. Technique- We performed a retrograde pyelography and inserted a 7 F ureteral catheter below the ureteropelvic junction. This facilitates the identification of the ureter, following it until the pelvis (it was facilitated by injection of saline solution through the tip of the catheter). After the posterior wall anastomosis execution, we passed the guidewire through left-hand trocar, it entered into the ureteral catheter and leaved through the urethra of the patient, and then we passed a DJ stent under it and finished the anastomosis. Discussion- Clayman has already emphasized that the antegrade route of the DJ stent is one of factors that facilitates the technique. Rodrigues had described a similar technique with previous use of facial dilators sets. Andreoni used a cholangiography device. Maldani and cols used a laparoscopic Hook to catheterize the ureter. Conclusion-Our technique of antegrade catheterization of ureter is neither better nor worse than the others, it is only an alternative to other techniques. It is a feasible procedure in services where laparoscopy surgery is in its initial stage and in hospitals that offer medical internships programs. It represents a great benefit to public services where scarcity of instruments is common.

Key words: Ureteropelvic junction; Obstruction; Laparoscopy; Stents; catheterization.

Bras. J. Video-Sur, 2008, v. 1, n. 2: 051-056

Accepted after revision: March, 17, 2008.

INTRODUCTION

A

ince the first laparoscopic pyeloplasty (LP) was performed by Schuessler in 19921, several technique innovations were described to facilitate this procedure. The most efficient technique in all kinds of ureteropelvic junction (UPJ) stenosis is the laparoscopic dismembered pyeloplasty, which achieve better results in enlarged pelvis and crossing vessels2. Debates continue on the ideal technique of ureteral stenting. Several surgeons prefer retrograde Double J stent insertion before the laparoscopic procedure3.
   As an inconvenience this technique causes deflation of the renal pelvis, in addition to that to perform the ureteropyelic anastomosis is demanding and time consuming.
   We will describe our technique in which a retrograde ureteropyelography is performed, the identification of the ureter and renal pelvis is favored, the anastomosis is easily and quickly performed and the antegrade insertion of a Double J stent.

SURGICAL TECHNIQUE

    With the patient in lithotomic position, a cystoscopy is performed with the accomplishment of a retrograde ureteropyeloghaphy (Photo 1). Afterwards, a 7 F ureteral catheter is inserted with one tip placed bellow the ureteropelvic junction and the other outside the urethra connected to an 8 F Levine catheter. (Figure1).
Photo 1 - Retrograde pyelography performed before the procedure depicting the ureteropelvic junction because of an aberrant vessel.

Figure 1 - Diagrammatic representation of the exact position of the catheter over the UPJ and the other distal tip outside the urethra.


   Then, the patient is placed in dorsal decubitus position (45o). The catheters are placed on the abdomen and after the asepsis and antisepsis of the operative field it will be inserted (Photo 2).
Photo 2 - Detail of the tip of the ureteral catheter where a saline solution will be injected and a guidewire will be inserted.


   Transperitoneal access was used; however, retroperitoneal access is also feasible. The intra-ureteral catheter facilitates its identification (Figure 2 and Photo 3). The ureter is traced cephalad toward the renal pelvis. NS (normal saline) 0,9% can also be injected through Levine catheter to distend even more the renal pelvis facilitating its identification (Figure 3 and 4). A 3.0 long straight needle could be passed percutaneously or not to lift the pelvis and therefore saving a trocar (Photo 4).
Photo 3 - Hard consistency of the ureter due to indwelling catheter.

Figure 2 - Diagrammatic representation of the ureteral catheter increasing the ureter consistency.
Figure 3 - Diagrammatic representation of an empty pelvis.
Figure 4 - Pelvis was being filled with saline solution.

Photo 4 - 3.0 Nylon transfixing the skin to facilitate pelvis dissection


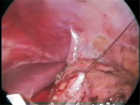
   After the section of the stenosed area, the ureter spatulation (Photo 5) and the completion of the posterior wall anastomosis (Photo 6), the Levine catheter is disconnected from the ureteral catheter and a retrograde hydrophilic guidewire is inserted through the external orifice of the ureteral catheter which will be exposed by the left hand trocar (Photo 7 and Figure 5) with care in order to avoid the anastomosis posterior stitches to tear (during this manipulation if possible an atraumatic forceps should be maintained).
Photo 5 - Spatulation of the ureter.

Photo 6 - Constructing the posterior wall of the anastomosis.

Photo 7 - Retrograde passage of the guidewire guided by an atraumatic forceps outside the left hand port.

Figure 5 - Diagrammatic representation of the retrograde passage of the guidewire.


   The Ureteral catheter is withdrawn and an antegrade Double J stent is passed over the guidewire (Photo 8). A pusher is used to insert the catheter into the renal pelvis (Photo 9). Then, always holding the Double J stent in the uteropelvic junction with an atraumatic forceps the vesical probe is withdrawn and afterwards the guidewire. Once again we pass the vesical probe in order to push any tip of the catheter that could be in the urethra. Next the anterior wall anastomosis is performed (Photo 10, 11, 12 and Figure 6). An abdomen X-ray is performed postoperatively to ensure the proper position of the Double J stent.
Photo 8 - Anterograde passage of the Double J stent through the lef port.

Photo 9 - Double J stent pusher completing its passage.

Photo 10 - Removal of the guidewire through the urethra of the patient after removing the vesical probe and the Double-J stent by twisting its tip.

Photo 11 - Completing the anterior wall of the anastomosis.

Photo 12 - The final aspect of the pyeloplasty.

Figure 6 - The final aspect of the surgery before suturing the anterior wall.

DISCUSSION

    Some authors consider antegrade double-J stent ureteral catheterization as one of the three sustainers of quickness and efficiency of a Laparoscopic Pyeloplasty4, and the other two are the left hand trocar midline insertion over the 12th rib and use of a continuous suture for the anastomosis with double-armed knotted suture.
   Some techniques on antegrade double-J stent during laparoscopic pyeloplasty have already been described. Mandhani5 described a technique in which the guidewire is introduced through the lumen of a 5 mm hook or suction canula via a subcostal port. Andreoni6 described antegrade double-J catheter through 5mm cholangiogram guide built for biliary surgery passed through the uppermost trocar. The main disadvantage of the techniques mentioned above is the necessity of instruments built to other purposes that increase the cost of the procedure.
   Rodrigues et cols.7 reported antegrade insertion through an abdominal puncture with an 18G needle placed cephalad to the anastomotic site at the ureteral axis. Afterwards a guidewire is inserted through the needle and then into the ureter. The route is dilated with dilators from a nephrostomy set until number 8F with the double-J stent then inserted through the guidewire, right after the bladder is filled with methylene blue to ensure that the stent is properly placed.
   Eichel et al4 described the insertion of a stent in this way: 8/10 F Amplatz sheath/ dilator system is passed by the lateral or uppermost 5mm port. So, a 5 F Kumpe catheter is passed with the tip placed in the ureter, and a guidewire is inserted through this catheter. The Kumpe catheter is removed, then a 10F sheath is placed and a double-J stent is inserted into it. Tan8 also reported a technique for antegrade stenting in which a puncture in the anterior abdominal wall with 19 F needle is necessary. The disadvantage of these techniques is the necessity of an additional puncture to antegrade placement of a double-J stent.
   Noiura et cols9 in their excellent manuscript, first described a retrograde insertion of the guidewire and the antegrade insertion of a double-J stent, however the author did not worry to place the ureteral catheter bellow the UPJ, but at the ureterovesical junction entry , and yet the pelvis was not insufflated to help its identification. Thus, our technique is a combination of the different techniques that have already been mentioned, as a distinguishing feature it facilitates the identification of the ureter through its different consistency due to an indwelling catheter, in addition to facilitate the renal pelvis identification (through ureteral saline injection) causing a better dissection as well as avoiding vascular injuries (for example an retropyelic artery). In our services the double J stent was placed in less than 6 minutes in the 5 operative cases, which is a great learning opportunity to our medical internships.

CONCLUSION

    Our technique is neither better nor worse than the ones described above; it is simply an alternative to ureteral catheterization during Laparoscopic Anderson-Hynes Pyeloplasty. It is a feasible procedure in services where laparoscopic surgery is in its initial stage and where there are a number of medical internships because it facilitates the ureter and the renal pelvis identification, besides it does not complicate the anastomosis of the posterior wall in spite of the absence of double-J stent at this moment. Therefore, as this technique does not require expensive instruments, costs are reduced which represent a great benefit to public services where scarcity of instruments is common.

REFERENCES

1. Schuessler,W.W., Grune,M.T., Tecyanhuey, L.V. and Preminger, G.M.: Laparoscopic dismembred pyeloplasty. J Urol, 150: 1795-8, 1993.
2. Turk IA, Davis JW, Winkelmann B, et al. Laparoscopic dismembered Pyeloplasty , the method of choice in the presence of an enlarged renal pelvis and crossing vessels. Eur Urol. 2002;42:268_275.
3. .Jarret,T.W., Chan, D.Y., Charambura,T.C., Fugita,O. and Kavoussi,L.R.: Laparoscopic pyeloplasty: The first 100 cases. J Urol, 167: 1253-1256, 2002
4. Eichel,L., Khonsari,S., Lee,D.I., Basillote,J., Shanberg,A., Duel,B., Macdougall, E.M., Clayman,R.V.:One-Knot pyeloplasty. J Endourol, 18: 201-4, 2004.
5. Mandhani,A., Goel,S. and Bhandari,M.: Is antegrade stenting superior to retrograde stenting in laparoscopic pyeloplasty? J Urol,171: 1440-1442, 2004.
6. .Andreoni,C., Paiva,C., Sabino,L., Gattás,N., Ortiz,V. and Srougi,M.: Laparoscopic cholangiogram-guide device applied for intracorporeal antegrade ureteric stenting durin laparoscopic pyeloplasty. BJU INT, 96: 1139-1141, 2005.
7. .Rodrigues, H., Rodrigues,P., Ruela,M., Bernabé,A. and Buogo,G.:Dismembred laparoscopic pyeloplasty with antegrade placement of ureteral stent: Simplification of the technique. Braz J Urol, 28: 439-445, 2002.
8. Tan HL.: Laparoscopic Anderson-Hynes dismembered pyeloplasty in children using needlescopic instrumentation.: Laparoscopic Anderson-Hynes dismembered pyeloplasty in children using needlescopic instrumentation. Urol Clin North Am, 2001;28(1):43-51.
9. Nouira Y, Horchani A.: How to Insert a Double J Stent in Laparoscopic Retroperitoneal Dismembered Pyeloplasty A New Technique. Surg Laparosc Endosc Percutan Tech 14(5):306-308 2004.


Correspondence address:
Av das Américas 13.554 _ Bl. 02 / Ap 805
Barra da Tijuca, Rio de Janeiro - Brazil
CEP 22790-700